Komplexe Fehlstellungen nach Unterschenkelbruch
Nach einer Unterschenkelfraktur kommt es in bis zu 8 % der Fälle zu einer Ausheilung des Schien- und Wadenbeins (Tibia und Fibula) in Fehlstellung, sofern der Bruch nicht komplett gerichtet werden konnte *. Folgen davon sind Bein- und Fussfehlstellungen, die insbesondere zu Schmerzen in Sprunggelenk und Knie führen können *.
Ursachen
Die häufigsten Ursachen sind nichtoperierte Brüche mit Fehlstellungen oder Brüche, die während der Operation nicht korrekt gerichtet werden konnten. Aber auch eine Fraktur, die ursprünglich wenig verschoben in einem Gips behandelt wurde, kann während der Heilung verkippen und schlussendlich in einer Fehlstellung ausheilen (Mal-Union).
Müssen Haut und Muskeln geschont bleiben, oder bestehen Infektionen oder Begleitverletzungen, muss ein Bruch unter Umständen von aussen gerichtet werden. Dabei verläuft die Korrektur der Fehlstellung nicht immer erfolgreich.
Nicht zuletzt kommt es auch bei operativ versorgten Brüchen zu Fehlstellungen nach der Ausheilung. Das kann beispielsweise passieren, wenn ein Bruch, bei dem der untere Teil des Schienbeins verdreht war, durch einen Markraumnagel versorgt wurde. Dieses Verfahren erlaubt eine weniger gute Rotationseinstellung der Fraktur *.
Symptome
Die Fehlstellung kann zur Überlastung der angrenzenden Gelenke und dadurch insbesondere zu Schmerzen im Knie und im Sprunggelenk führen. Eine ausgeprägte Fehlstellung kann sogar das Risiko für frühzeitigen Gelenkverschleiss erhöhen *. Auch Muskelschmerzen aufgrund der Fehlbelastung kommen vor.
Diagnose
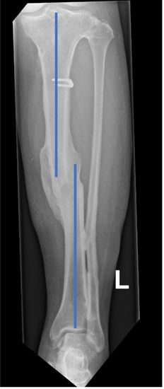
Bild: Universitätsklinik Balgrist
In der klinischen Untersuchung werden die Schmerzen lokalisiert und meist schon die Fehlstellungen erkannt. Wichtig dabei ist, auch auf mögliche Muskelverkürzungen zu achten. Röntgenbilder helfen, die Fehlstellung des Knochens zu erkennen. Dabei ist es wichtig, immer mindestens zwei Ansichten (Bilder in 2 Ebenen, gerade und seitlich) aufzunehmen, die möglichst senkrecht aufeinander ausgerichtet sind. Ansonsten erkennt man z. B. in einem seitlichen Röntgenbild nicht, wie sich die Fehlstellung von vorne betrachtet darstellt.
Eine genaue Analyse der Fehlstellung gelingt nur mittels dreidimensionaler Bildgebung. Das derzeit etablierte Verfahren dazu ist ein Schichtröntgen (Computertomographie – CT) des Unterschenkels. Mit Hilfe von an der Universitätsklinik Balgrist entworfenen Programmen, sind wir in der Lage, mittels CT ein dreidimensionales Modell des Beins zu erstellen *. Ein gespiegeltes Modell des anderen, gesunden Beins kann als Vorlage für das Bein mit der Fehlstellung dienen *.
Konservative Therapie
Spezielle Schuhe und Orthesen können das Sprunggelenk und auch das Kniegelenk entlasten. Aus der Fehlstellung resultierende Muskelüberlastungen und -verkürzungen sowie Gelenkbeschwerden können durch eine physiotherapeutisch begleitete Mobilisation gesenkt werden.
Operative Therapie
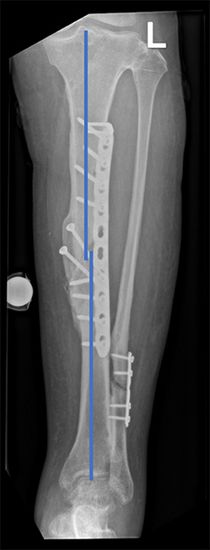
Eine Fehlstellung kann nur durch eine Operation korrigiert werden. Die Planung der Korrektur erfolgt klassischerweise anhand zweier Röntgenbilder – von vorne und von der Seite. Um den Knochen wieder in seine möglichst ideale Form zu bringen, werden häufig sogenannte Knochenblocks (aneinanderhängendes Knochenstück) eingebracht oder entfernt. Ist die Fehlstellung aber in beiden Ebenen (von vorne und von der Seite) oder zusammen mit einer Rotationsfehlstellung, ist eine ganzheitliche, dreidimensionale Korrektur mit diesem Verfahren nur eingeschränkt möglich.
Unser eigens dazu entwickeltes Computermodell berücksichtigt jedoch die Dreidimensionalität der Deformität. Unsere Software ermöglicht zudem die genaue Planung der Korrektur anhand des anderen Beins *, *. Häufig kann damit die Fehlstellung korrigiert werden, während weniger oder gar kein Knochen eingebracht oder entfernt werden muss. Der Grund dafür ist die genau berechnete Ebene, in welcher der Knochen durchtrennt und gedreht wird.
Für eine äusserst genaue operative Umsetzung der Korrektur wird diese nicht freihändig durchgeführt, sondern anhand von Schablonen, die exakt auf den Knochen der Patientin oder des Patienten angefertigt wurden (patientenspezifische Schablonen). Um den Knochen in die richtige Position zu bringen und zu halten, werden weitere Schablonen eingesetzt. Diese halten den Knochen zudem genau in der gewünschten Position, bis er mittels Schrauben und Platten fixiert wird.
Nachbehandlung
Zur Ausheilung des Knochens ist die Ruhigstellung im Gips notwendig. Für die ersten 6 Wochen nach der Operation darf das Bein bis lediglich 15 kg teilbelastet werden. Danach erfolgt ein Kontrollröntgen und ein erneutes CT. In der Regel sind dann bereits erste Zeichen der Heilung sichtbar und es kann mit dem Belastungsaufbau im Gips und an zwei Unterarmgehstöcken begonnen werden.
Häufige Fragen
Wird diese Methode auch bei angeborenen oder entwickelten Fehlstellungen angewendet?
Die patientenspezifische Planung und Korrektur kann auch bei angeborenen oder entwickelten Fehlstellungen angewendet werden. An der Universitätsklinik Balgrist führen wir viele Korrekturen zur Entlastung des Sprung- oder Kniegelenks mittels dieser Planungs- und Operationsart durch.
Referenzen
- Milner SA, Davis TR, Muir KR, Greenwood DC, Doherty M. Long-term outcome after tibial shaft fracture: is malunion important. J Bone Joint Surg Am. 2002;84:971-980. 
- Patel I, Young J, Washington A, Vaidya R. Malunion of the Tibia: A Systematic Review. Medicina (Kaunas). 2022;58:389. 
- Kane JM, Raikin SM. Addressing hindfoot arthritis with concomitant tibial malunion or nonunion with retrograde tibiotalocalcaneal nailing: a novel treatment approach. J Bone Joint Surg Am. 2014;96:574-580. 
- Fürnstahl P, Vlachopoulos L, Schweizer A, Fucentese SF, Koch PP. Complex Osteotomies of Tibial Plateau Malunions Using Computer-Assisted Planning and Patient-Specific Surgical Guides. J Orthop Trauma. 2015;29:e270-6. 
- Hodel S, Cavalcanti N, Fucentese S, Vlachopoulos L, Viehöfer A, Wirth S. The Relationship between Frontal, Axial Leg Alignment, and Ankle Joint Line Orientation-a Radiographic Analysis of Healthy Subjects. Orthop Surg. 2022 
- Weigelt L, Fürnstahl P, Hirsiger S, Vlachopoulos L, Espinosa N, Wirth SH. Three-Dimensional Correction of Complex Ankle Deformities With Computer-Assisted Planning and Patient-Specific Surgical Guides. J Foot Ankle Surg. 2017;56:1158-1164. 
Sprechstunde
Möchten Sie einen Termin in der Klinik oder eine Online-Sprechstunde für Dienstag oder Donnerstag vereinbaren?
Sie erreichen uns wie folgt:
 Montag bis Freitag
 08.30–12.00 Uhr
 13.00–17.00 Uhr


