Subtrochantäre Rotationsosteotomie
Ein Oberschenkelknochen (Femur) mit fehlerhafter Drehstellung kann z. B. Knorpelschäden begünstigen und den Bewegungsumfang einschränken. Die Rotationsosteotomie oder auch Drehosteotomie dient der Korrektur von Knochen, die sich in fehlerhafter Torsion (Drehung) befinden. Die Operation findet meistens kombiniert mit einem anderen Eingriff in derselben Narkose statt. Sie kommt als zweiter Schritt in Frage, wenn nach der Erstoperation der Bewegungsumfang noch nicht wie gewünscht verbessert wurde. Häufige Erstoperationen sind z. B. die periacetabuläre Beckenosteotomie oder die Hüftarthroskopie.
Die Veränderung des Rotationswinkels hat direkten Einfluss auf den Bewegungsumfang und die Belastungsverteilung des Hüftgelenks. Das persönliche Ziel, das Patientinnen und Patienten durch den Eingriff erreichen möchten, sowie die ideale Korrektur wird gemeinsam in der Sprechstunde erörtert.

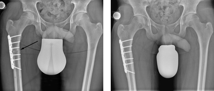
Bild: Universitätsklinik Balgrist
Operation
Der Zugang zum Oberschenkelknochen erfolgt über einen seitlichen Hautschnitt, ohne die umliegenden Muskeln zu verletzen. Der Femur wird sorgfältig unterhalb des kleinen Rollhügels (Trochanter minor) – also subtrochantär – per Schnitt getrennt und dann in den vorgeplanten Winkel gedreht. Danach wird der Knochen mittels Schrauben und einer Platte fixiert. Der Eingriff dauert ungefähr eine Stunde, je nach kombinierter Voroperation entsprechend länger.
Sehr selten treten folgende operationsspezifische Komplikationen auf:
- Über- oder Unterkorrektur
- Absterben (Nekrose) des operierten Knochens
- Bewegungseinschränkung infolge verletzter Sehnen
- Beinlängendifferenz
Erfolgsaussichten
Nach der Operation sollten Patientinnen und Patienten weniger Bewegungseinschränkungen haben und ihr Hüftgelenk sollte belastbarer und langlebiger sein. Erfahrungsgemäss ist man nach dem Eingriff beschwerdefrei. Ob und wie stark bei intensivem Sporttreiben noch Beschwerden auftreten, hängt wesentlich davon ab, wie gross die Knorpelschäden vor der Operation bereits waren. Die Platte stört manche Patientinnen und Patienten und wird deshalb nach Ausheilung des Knochens wieder entfernt. In sehr seltenen Fällen verzögert sich die Knochenheilung und/oder die Platte bricht.
Vorbereitungen
Medikamente, die die Blutgerinnung stören, müssen frühzeitig abgesetzt werden. Beachten Sie dazu auch das Merkblatt Wichtige Informationen zu Medikamenten (PDF).
Bei der Voruntersuchung werden noch offene Fragen geklärt. Die zuständige Ärztin oder der zuständige Arzt trifft letzte Abklärungen zur bevorstehenden Operation und eine Anästhesistin oder ein Anästhesist bespricht mit der Patientin oder dem Patienten die geeignete Narkose.
Hospitalisation und Rehabilitation
Nach der Operation überwachen wir Sie zuerst in der Aufwachstation und bringen Sie später auf Ihr Zimmer. Noch am Operationstag oder am Folgetag hilft Ihnen eine Physiotherapeutin oder ein Physiotherapeut aufzustehen. Sie erhalten zwei Gehstöcke und dürfen das operierte Bein vorerst nur minimal belasten.
Sobald die Wunde einwandfrei ist und Sie selbstständig an zwei Stöcken gehen, vom Bett aufstehen, Treppen steigen usw., dürfen Sie das Spital verlassen.
Ablauf nach der Operation
Wochen 1 bis 8
 Sie gehen an zwei Stöcken und dürfen das operierte Bein bis maximal 15 kg druckbelasten. Zwei bis drei Wochen nach dem Eingriff zieht Ihr Hausarzt oder die Hausärztin die Operationsfäden. Ihren Beruf können Sie je nach Tätigkeit und Arbeitsweg wieder in Teilzeit ausüben – weiterhin unter Einhaltung der 15-kg-Teilbelastung.
Wochen 9 bis 14
 Wir sehen uns zur ersten Nachkontrolle, bei der wir Sie klinisch und radiologisch untersuchen. In der Regel dürfen Sie über die nächsten 6 Wochen die Belastung des operierten Beines langsam steigern.
Woche 14
 Auch in der zweiten Nachkontrolle untersuchen wir Sie klinisch und radiologisch. Danach beginnen Sie den ambulanten Belastungs- und Kraftaufbau Ihrer Hüftmuskulatur in der Physiotherapie.
1 Jahr
 Die letzte Verlaufskontrolle findet etwa nach einem Jahr statt.
Sprechstunde
Möchten Sie einen Termin in der Klinik oder eine Online-Sprechstunde für Montag oder Mittwoch vereinbaren?
Sie erreichen uns wie folgt:
 Montag bis Freitag
 08.00–12.00 Uhr
 13.00–17.00 Uhr
Zuweisungen
«Rotationsosteotomie – Korrektur des Bewegungsumfangs»: Erklärvideo zum Thema.