Hüftdysplasie (Hüftgelenkdysplasie) bei Erwachsenen
Die Hüftdysplasie ist eine angeborene oder erworbene Fehlbildung der Hüftpfanne (Acetabulum). Aufgrund ihrer unzureichenden Verknöcherung ist sie zu klein und steil im Verhältnis zum Hüftkopf (Femurkopf). Die Hüftpfanne überdacht deshalb den Hüftkopf nur unzureichend, wodurch das Hüftgelenk vermehrt belastet wird. Diese Überbelastungen können im jungen Erwachsenenalter zu Schmerzen führen und es besteht das Risiko eines frühzeitigen Gelenkverschleisses (Hüftgelenkarthrose).
Die Hüftdysplasie ist die häufigste Skelettfehlentwicklung und betrifft schätzungsweise 6 % der Neugeborenen. Mädchen sind drei- bis sechsmal häufiger betroffen als Jungen und in 37 % der Fälle kommt die Hüftdysplasie an beiden Hüften vor.

Bild: Lehrbuch Orthopädie. Was man wissen muss. Prof. Dr. Mazda Farshad. Springer 2021 © CC BY-NC 4.0
Ursachen
Die Ursachen der angeborenen und erworbenen Hüftdysplasie sind nicht abschliessend geklärt.
Risikofaktoren für eine Hüftfehlbildung
- positive Familienanamnese (nahe Verwandte sind betroffen)
- weibliches Geschlecht
- erstgeborenes Kind
- falsche Lage des Fötus im Mutterleib (Steiss- oder Beckenendlage)
- Oligohydramnion (Mangel an Fruchtwasservolumen)
- neurologische oder muskuläre Erkrankungen
Symptome
Beschwerden treten meistens zwischen dem 16. und 40. Lebensjahr auf und werden als Schmerzen an der Hüftaussenseite und verzögert als Leistenschmerzen wahrgenommen. Provoziert werden die Beschwerden durch langes Stehen und Gehen, beim Tragen von schweren Gegenständen und bei sportlichen Aktivitäten (insbesondere Joggen, Stop-and-go-Bewegungen) oder während der Schwangerschaft. Gelegentlich wird auch über Gelenkblockaden berichtet. Im späteren Verlauf reduziert sich die Belastbarkeit des Hüftgelenks. Darauf folgen Ruheschmerz und die Schmerzausweitung u. a. in Rücken, Oberschenkel und Knie.
Diagnose
Die Hüftdysplasie wird anhand der klinischen Untersuchung und der Röntgenbilder diagnostiziert. In der Untersuchung fallen oft eine Überbeweglichkeit (vermehrte Innen- und Aussenrotation der Hüfte) sowie Leistenschmerzen bei forcierter Beweglichkeitsprüfung (Flexion, Rotation) auf.
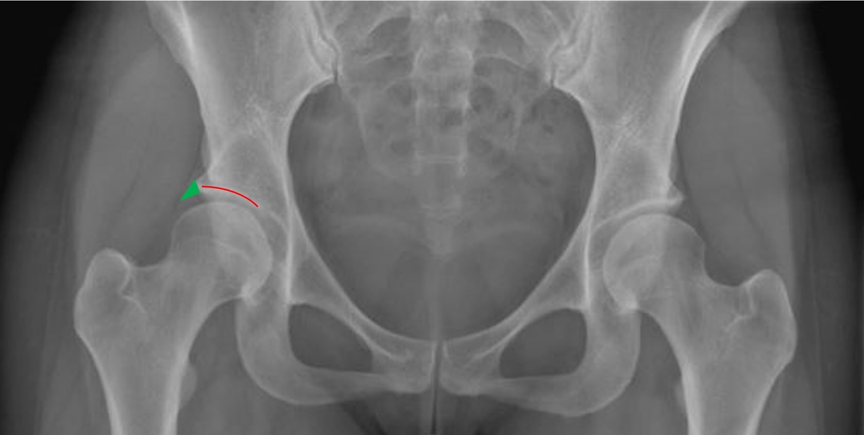
Im Röntgenbild zeigt sich eine zu kleine und steile Hüftpfanne mit zu geringer Überdachung des Hüftkopfes (siehe Röntgenbild unten). Eine Magnetresonanztomographie (MRT bzw. engl. MRI für magnetic resonance imaging) ist für die Diagnose nicht entscheidend, wird aber zur abschliessenden Beurteilung und Festlegung der Behandlung routinemässig durchgeführt.

Bild: Universitätsklinik Balgrist
Verlauf
Abhängig vom Ausmass der Dysplasie und der körperlichen bzw. sportlichen Aktivität der Patientin oder des Patienten treten die Beschwerden zu unterschiedlichen Zeitpunkten im Leben auf. Wird die Hüftdysplasie einmal symptomatisch, wechseln sich schmerzhafte und schmerzarme Episoden ab. Längerfristig ist mit einer Zunahme der Symptomatik zu rechnen. Bleibt eine Behandlung aus, nützt sich der Hüftgelenkknorpel frühzeitig und irreparabel ab (Arthrose).
Wann zur Ärztin oder zum Arzt?
Bei unklaren Schmerzen in der Leiste, im Gesäss und in der Hüfte, die durch Schonung nicht in wenigen Tagen vollständig verschwinden, ist eine Abklärung durch die Hüftspezialistin oder den Hüftspezialisten sinnvoll – insbesondere im jungen Erwachsenenalter.
Konservative Therapie
Die konservative Therapie eignet sich für erwachsene Patientinnen und Patienten mit bereits vorliegender Arthrose im Hüftgelenk (vgl. Hüftarthrose: konservative Therapie). Bei ihnen erreichen unsere Spezialistinnen und Spezialisten erfahrungsgemäss die besseren Resultate als mit einer operativen Therapie.
Mittel der konservativen Therapie
- Belastungsreduktion/-anpassung (beim Sport und im Alltag)
- entzündungshemmende Schmerzmittel (nichtsteroidale Antirheumatika, NSAR)
- Kortisoninfiltration des Hüftgelenks
Durch Kräftigung der Hüftabduktoren und langfristige Belastungsanpassung kann eine schwach ausgeprägte Hüftdysplasie und erstmalige Schmerzepisode teilweise ausreichend behandelt werden, sodass kein operativer Eingriff nötig wird.
Operative Therapie
Die zu Beginn teilweise geringen Hüftbeschwerden sind ernst zu nehmen. Eine symptomatische Hüftdysplasie sollte operativ behandelt werden, um die Druckbelastung des Gelenks zu verbessern. Eine symptomlose Hüftdysplasie, die zufällig aufgrund einer anderen Abklärung entdeckt wird, bedarf keiner Behandlung.
Ziel dieser Operation ist es, die Hüftpfanne neu auszurichten und dadurch die Überdachung des Hüftkopfs zu verbessern. Dies wird durch die sogenannte periacetabuläre Beckenosteotomie (PAO) erreicht. Dadurch können die Beschwerden langfristig deutlich reduziert und die Arthroseentwicklung entscheidend verzögert werden.
Erfolgsaussichten
Nach der Operation ist eine deutliche Schmerzlinderung zu erwarten und die Belastbarkeit des Gelenks im Alltag und bei sportlichen Aktivitäten wird relevant verbessert. Zudem wird die frühzeitige Abnutzung des Gelenks entscheidend verzögert. 20 Jahre nach einer PAO sind die meisten Patientinnen und Patienten nach wie vor zufrieden mit ihrer Hüfte.
Je früher eine Behandlung der Hüftdysplasie erfolgt, desto grösser sind die Erfolgschancen. Folgende Faktoren können das Resultat negativ beeinflussen:
- Alter über 40 Jahre
- Adipositas (BMI-Wert über 30)
- Hinken
- degenerative Knorpelveränderungen
Bei bereits entwickelter Hüftarthrose ist die PAO nicht mehr sinnvoll. Hier ist die Implantation eines künstlichen Hüftgelenks die Therapie der Wahl.
Eine alleinige Hüftspiegelung (Arthroskopie) ist keine ursächliche Behandlung. Sie kann das Hüftgelenk destabilisieren und sollte bei einer Hüftdysplasie vermieden werden. In seltenen Fällen kommt die Arthroskopie bei Patientinnen und Patienten mit geringgradiger (grenzwertiger) Hüftdysplasie und femoroacetabulärem Impingement zum Einsatz.
Sprechstunde
Möchten Sie einen Termin in der Klinik oder eine Online-Sprechstunde für Montag oder Mittwoch vereinbaren?
Sie erreichen uns wie folgt:
 Montag bis Freitag
 08.00–12.00 Uhr
 13.00–17.00 Uhr
Zuweisungen
Prof. Dr. med. Patrick Zingg im Podcast zum Thema Hüft-Impingement oder Hüftdysplasie bei jungen Erwachsenen
„Hüftschmerzen bei jungen Erwachsenen kommen durchaus häufig vor“, so Prof. Dr. med. Patrick Zingg. Was die Ursache ist und wie die Hüftprobleme behandelt werden können, erklärt der Hüftspezialist im Podcast und betont, dass Hüftbeschwerden bei jungen Menschen unbedingt ernst genommen und abgeklärt werden sollten, um Schäden am Hüftgelenk zu vermeiden.