Degenerative Erkrankungen von Muskeln und Sehnen
Die Tendinopathie (Sehnenleiden) der Hüftabduktoren ist ein typisches Krankheitsbild und häufige Ursache für lateralseitige (zur Aussenseite hin) Hüftschmerzen. Unter der Erkrankung leiden etwa 10 bis 25 % der Menschen, vor allem Frauen im Alter von 40 bis 60 Jahren. Junge Athletinnen und Athleten sind aber ebenfalls betroffen.
Ursachen
Die häufigste Ursache der Hüftabduktoren-Tendinopathie ist die altersbedingte Degeneration der Sehnen. Die Hüftabduktoren müssen beim Gehen enormen Kräften standhalten. Dabei werden die Sehnen der Hüftabduktoren im Laufe des Lebens beschädigt. Wiederholte Reibung zwischen dem Trochanter major (Knochenvorsprung des Oberschenkelknochens) und dem Tractus iliotibialis (breite Bindegewebestruktur an der Oberschenkelaussenseite) verursacht ein Mikrotrauma in den Gesässsehnen am Ansatz des Trochanters. Reibung führt zu lokalen Entzündungen, Degeneration der Sehnen und erhöhter Spannung.
Rheumatologische Erkrankungen oder Unfälle wie traumatische Hüftabduktorenrupturen können den Verschleiss der Sehnen beschleunigen. Vollständige Abrisse der Hüftabduktoren sind extrem selten, schmerzhafte Sehnenverdickungen, Verkalkungen und Teileinrisse kommen jedoch häufig vor. Häufig entzündet sich der Schleimbeutel im Trochanter-Bereich (Bursitis trochanterica), was auch isoliert auftritt, etwa im Zusammenhang mit einer Hüftgelenkarthrose oder nach einem Sturz.
Bekannte Risikofaktoren für degenerative Muskel- und Sehnenerkrankungen
- weibliches Geschlecht
- Übergewicht
- vorangegangene Operationen, z. B. Hüftprotheseneinsatz, über einen lateralen oder transglutealen Zugang (seitlich oder über die Gesässmuskulatur)
- Beinlängendifferenzen
- rheumatologische Erkrankungen
Symptome
Die Symptome einer Tendinopathie der Hüftabduktoren entwickeln sich oft langsam nach einer Fehlbelastung:
- Schmerzen am lateralen (zur Körperaussenseite gelegen) Hüftbereich, vor allem bei Belastung (z. B. Treppensteigen) oder Nachtschmerzen beim Liegen auf der betroffenen Seite
- Schmerzen, die in Gesäss oder Knie ausstrahlen
- Abnahme der Belastbarkeit in Sport und Alltag
- Verschlechterung des Gangbilds
- Hinken (Anzeichen nach Trendelenburg, Duchenne oder Entlastungshinken)
Diagnose
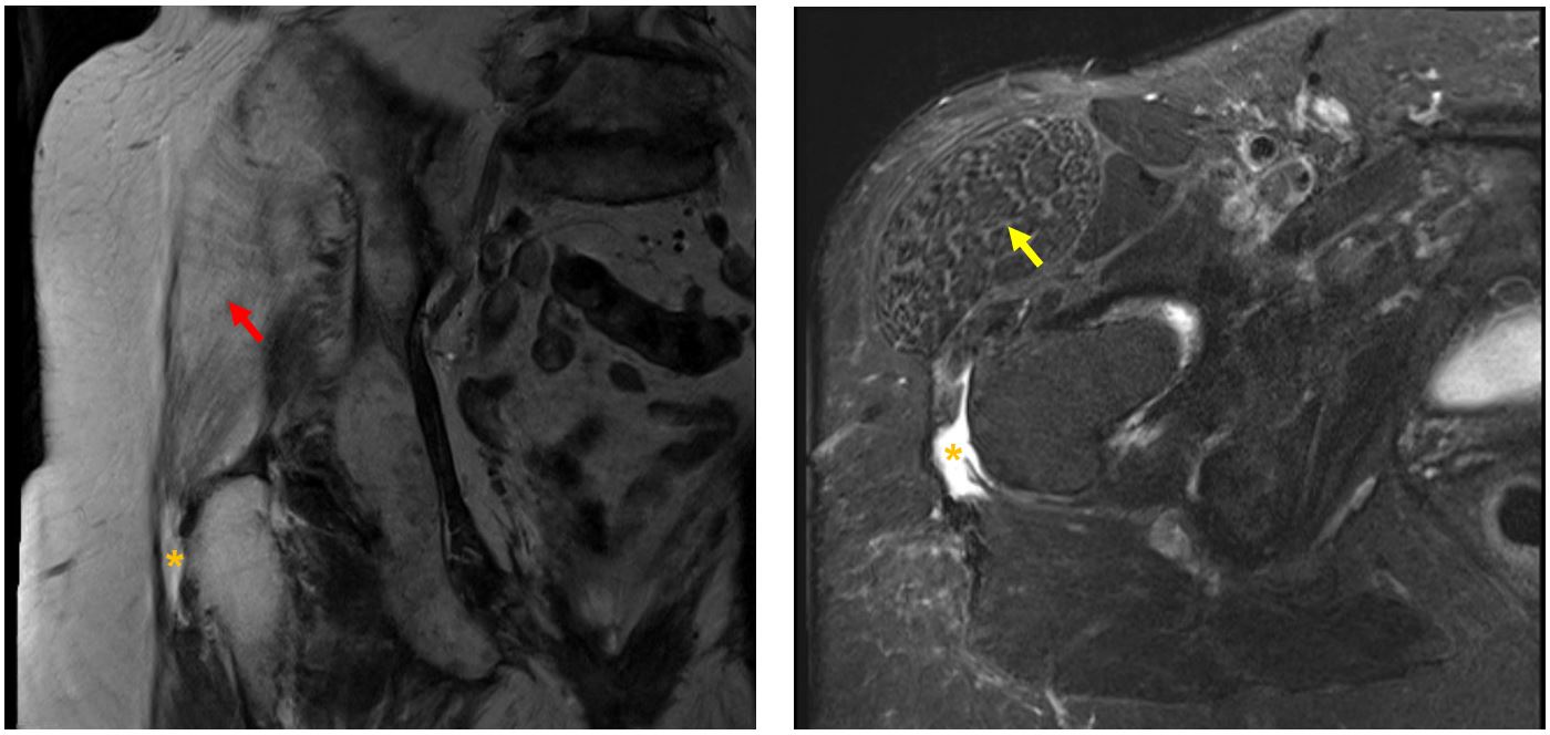
Die Tendinopathie der Hüftabduktoren wird anhand der klinischen Untersuchung und der Röntgenbilder diagnostiziert. In der klinischen Untersuchung fallen oft ein Hinken und Schmerzen über dem grossen Rollhöcker (Trochanter major) auf, die sich im Röntgenbild als Verkalkungen oder Enthesiophyten (Knochensporne) erweisen. Eine MRI-Untersuchung ist für die Diagnose nicht entscheidend, wird aber durchgeführt, wenn trotz gezielter Therapie die Beschwerden andauern, der Kraftgrad deutlich vermindert ist oder bei extremem Schmerz. Differentialdiagnostisch kommt eine Nervenwurzelkompression in Frage, die eine Wirbelsäulenabklärung erfordert. Auch Spannung im Schenkelbindenspanner (ein äusserer Hüftmuskel) und ein iliotibiales Bandsyndrom (ITBS) können Schmerzen um den Trochanter auslösen. Das ITBS betrifft häufig Langstreckenläuferinnen und Radfahrer, die durch Überlastung des Tractus iliotibialis Schmerzen im äusseren Kniebereich empfinden.

Bild: Universitätsklinik Balgrist
Wann zum Arzt?
Bei unklaren Schmerzen in Leisten, Gesäss und Hüfte, die durch Schonung nicht in wenigen Tagen vollständig verschwinden, ist eine Abklärung bei der Hausärztin oder beim Hüftspezialisten sinnvoll.
Therapie
Die Therapie der Hüftabduktoren-Tendinopathie ist vorwiegend konservativ. Eine operative Versorgung ist erst bei ausgeschöpfter konservativer Behandlung oder bei hochgradiger Sehnenruptur sinnvoll.
Konservative Therapie
Zu den Massnahmen der nichtoperativen Behandlung zählen:
- Physiotherapie zur Aufdehnung und Kräftigung der Hüftabduktoren (keine Massage)
- Heimtraining
- Belastungsreduktion und -anpassung (in Sport und Alltag)
- orale entzündungshemmende Schmerzmittel (nichtsteroidale Antirheumatika, kurz NSAR) oder lokale Schmerzpflaster
- fokussierte Stosswellentherapie
- Infiltration im Bereich der Bursa trochanterica (Schleimbeutel am Trochanter major) mit einem kristallinen Depot-Kortison oder Eigenblut (platelet-rich plasma – PRP)
Die Physiotherapie ist der wichtigste Therapiebestandteil auf dem Weg zur schmerzfreien Funktion der Hüfte. Muskuläre Ungleichheiten (Dysbalance), besonders einseitige Hüftabduktionsschwächen oder -verkürzungen können durch gezielte Kräftigung der betroffenen Gesässmuskulatur behoben werden. Neben der Physiotherapie ist ein strukturiertes Heimtraining wichtig.
Die fokussierte Stosswellentherapie (auch extrakorporale Stosswellentherapie – ESWT) ist ein etabliertes Verfahren zur Behandlung von Sehnenerkrankungen. Kombiniert mit einem hüftspezifischen Trainingsprogramm ist es sehr wirksam bei Behandlungen der Hüftabduktoren-Tendinopathie (Erfolgsrate von 87 % zwei Monate nach der Behandlung).
Bestehen die Beschwerden trotz gezielter Physiotherapie weiter, kann eine Infiltration im Bereich des Schleimbeutels durchgeführt werden. Die Wirkintensität und -dauer der Infiltration ist individuell unterschiedlich. Nach langer Wirkdauer (über 3 Monate) kann eine Wiederholung sinnvoll sein. Ein neueres Verfahren ist die PRP-Injektion. Auch sie wird erfolgreich zur Therapie von Sehnenpathologien eingesetzt. Die Infiltrationen werden unter sterilen Bedingungen durch erfahrene Radiologinnen und Radiologen mit Sicht über das Röntgengerät durchgeführt. Risiken und Nebenwirkungen bei Hüftgelenkinfiltrationen sind äusserst selten. Dazu gehören allergische Reaktionen, Gesichtsrötung mit Hitzegefühl, vorübergehende Störungen der Blutzuckerwerte bei Diabetes, Infekte und Blutungen. Nach der Infiltration ist Laufen ohne Gehstöcke und Autofahren möglich.
Operative Behandlung
Bei ausgeschöpfter konservativer Behandlung oder bei hochgradiger Sehnenruptur ist eine operative Versorgung sinnvoll. Dabei wird der Schleimbeutel entfernt, die Sehnenansätze werden von degenerativ verändertem Gewebe befreit (Débridement) und wieder am Trochanter major (grosser Rollhügel) refixiert. Dieses Verfahren ist offen oder endoskopisch (minimalinvasiv) durchführbar.
Sprechstunde
Möchten Sie einen Termin in der Klinik oder eine Online-Sprechstunde für Montag oder Mittwoch vereinbaren?
Sie erreichen uns wie folgt:
 Montag bis Freitag
 08.00–12.00 Uhr
 13.00–17.00 Uhr