Knorpelschäden am Sprunggelenk
Knorpelschäden am Sprunggelenk sind häufig die Folge eines Unfalls (z. B. Umknicken). Mögliche Gründe sind aber auch eine chronische Sprunggelenkinstabilität oder Durchblutungs- oder Entwicklungsstörungen im Gelenk. Davon zu unterscheiden ist der generelle Gelenkverschleiss (Arthrose). Der Knorpelschaden kann auch den darunterliegenden Knochen betreffen (osteochondrale Läsion).
Symptome
Die Beschwerden der Patientinnen und Patienten mit einem Knorpelschaden sind eher unspezifisch, häufig berichten sie jedoch von belastungsabhängigen Schmerzen «tief im Gelenkinneren». Nicht jeder Knorpelschaden verursacht unbedingt sofort Schmerzen, denn der Knorpel selbst verfügt über keine Schmerzfasern. Ein weiteres Anzeichen ist ein geschwollenes Sprunggelenk. Selten tritt auch ein Blockadegefühl im Gelenk auf, wenn sich ein Knorpelstück aus der Gelenkoberfläche herausgelöst hat.
Diagnose
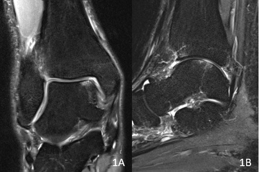
Die ärztliche Befragung gibt anhand der Symptome erste Hinweise auf einen Knorpelschaden. Eine Röntgenuntersuchung ermöglicht die genaue Analyse der Knochen und der Gelenkstellungen unter Belastung. Mögliche Anzeichen für eine Arthrose lassen sich hiermit auch bereits feststellen. Zur weiteren Beurteilung des Knorpelschadens inklusive der Bänder und Sehnen dient eine Magnetresonanztomographie (MRT bzw. engl. MRI für magnetic resonance imaging).

Bild: Universitätsklinik Balgrist
Zur weiteren Beurteilung des Knorpelschadens inklusive der Bänder und Sehnen dient eine Magnetresonanztomographie (MRT bzw. engl. MRI für magnetic resonance imaging).

Bild: Universitätsklinik Balgrist
Bei vorliegender osteochondraler Läsion kann mittels CT-Arthrographie (CT-Untersuchung mit vorheriger Kontrastmittelinjektion) das Ausmass des Knochendefekts und die Stabilität der darüberliegenden Knorpeloberfläche noch genauer untersucht werden.
Konservative Therapie
Sind die Beschwerden erst kurzfristig aufgetreten, können konservative Behandlungsansätze die Belastbarkeit und Stabilität des Sprunggelenks verbessern und durchaus auch ohne Operation zu anhaltender Beschwerdefreiheit führen. Zu den Massnahmen gehören die vorübergehende Ruhigstellung und eine individuell angepasste Schmerztherapie sowie eine Physiotherapie.
In einer systematischen Übersichtsarbeit lag die Erfolgsquote der konservativen Therapie bei 45 % *. Zudem konnte gezeigt werden, dass ein nichtchirurgisch behandelter Knorpelschaden nicht zwingend zu einer Arthrose im Langzeitverlauf führen muss *.
Operative Therapie
Vor dem Entscheid zu einer Operation sind folgende Fragen durch die ärztliche Untersuchung und die Bildgebungen zu beantworten:
- Wie ist die Stabilität des Sprunggelenks?
- Ist das Sprunggelenk von einer Fehlstellung betroffen?
- Wie ausgedehnt ist die Verletzung der Knorpelschicht?
- Ist der darunterliegende Knochen mitverletzt?
- Besteht bereits eine Arthrose?
Ein operativer Eingriff soll die Schmerzen reduzieren und die Knorpelstruktur verbessern. Eine wichtige Besonderheit des Knorpels ist seine praktisch fehlende Regenerationsfähigkeit. Die Art des Eingriffs hängt deshalb bei jeder Patientin und jedem Patienten vom Alter, dem eigenen Anspruch an das Gelenk und der Grösse des Knorpelschadens ab.
Kleine Knorpeldefekte können minimalinvasiv mittels Arthroskopie angegangen werden. Bei grösseren Knorpeldefekten gibt es, basierend auf der aktuellen Studienlage, keine eindeutigen Richtlinien. Verschiedenste therapeutische Ansätze mit guten Resultaten werden derzeit angewendet:
- Mikrofrakturierung *
Bohrung kleiner Löcher in die Knochenoberfläche, wodurch Stammzellen freigesetzt und in Knorpelzellen umgewandelt werden, die den Defekt mit Faserknorpel auffüllen. - Knochen-Knorpel-Zylinder-Transplantationen *
Die hierfür benötigten Zylinder stammen entweder aus einem nichtbelasteten Gelenkanteil des eigenen Kniegelenks oder von einem Spender. - Autologe Chondrozytenimplantation (ACI) *
Eine Transplantation von im Labor vermehrten patienteneigenen Knorpelzellen, die in einer vorgängigen Operation entnommen wurden. Diese können auch auf einer speziellen Membran in den Defekt einbracht werden (matrixinduzierte Chondrozytenimplantation – MACI)). Bei dieser Technik sind zwei Eingriffe notwendig: 1. Knorpelzellentnahme, 2. Implantation. - Autologe matrixinduzierte Chondrogenese (AMIC) *
Eine Kombination aus der klassischen Mikrofrakturierung und einer speziellen Kollagenmembran. Die Membran wird passgenau auf den Defekt zugeschnitten und erleichtert den Stammzellen das Einnisten und das Differenzieren zu Knorpelzellen.
An der Universitätsklinik Balgrist führen wir vorwiegend die AMIC-Technik durch, da dadurch kein Eingriff am Kniegelenk notwendig ist und eine zweite Operation vermieden werden kann.
Grössere Knochendefekte unterhalb des Knorpels werden mit körpereigenem Knochen aufgefüllt. Dieser wird z. B. durch ein kleines Knochenfenster aus dem Fersen- oder Schienbein gewonnen. Um sehr zentral gelegene Knorpeldefekte zu erreichen, ist in manchen Fällen die Durchtrennung des Innenknöchels nötig.
Eine Gelenkfehlstellung, die zu erhöhten Druckverhältnissen im Bereich des Knorpeldefekts führt, ist auch zu korrigieren. Ebenso sollte eine vorhandene chronische Sprunggelenkinstabilität behoben werden.
Welche Risiken bestehen?
Allgemeine Risiken, die bei jeder Operation auftreten können, z. B. Bildung von Blutgerinnseln oder eine Wundinfektion, werden durch entsprechende prophylaktische Massnahmen (Blutverdünnung, Antibiotikagabe während der Operation) gesenkt.
Der Gelenkeingriff kann im postoperativen Verlauf zu störenden Vernarbungen im Sprunggelenk und dadurch zu Bewegungseinschränkungen führen. Diese ziehen unter Umständen einen weiteren Eingriff (Arthroskopie zur Narbenentfernung) nach sich.
Nachbehandlung
Der stationäre Aufenthalt nach der Operation dauert 2 bis 3 Nächte. Während dieser Zeit üben Sie die Teilbelastung im abnehmbaren Unterschenkelgehgips, der für insgesamt 6 Wochen zu tragen ist. Belastungsfreie Bewegungsübungen, für die Sie den Gips jeweils vom Fuss nehmen, beginnen frühzeitig. 6 Wochen nach der Operation erfolgt eine klinische Kontrolle in der Sprechstunde. Danach startet die physiotherapeutisch angeleitete Belastungssteigerung inklusive Stabilisierungsprogramm. Sportliche Aktivitäten sind nach 3 bis 4 Monaten wieder möglich.
Häufige Fragen
Was passiert, wenn eine Knorpelschaden nicht operiert wird?
Prinzipiell sollte ein Knorpelschaden nur operiert werden, wenn dieser trotz ausgeschöpfter konservativer Massnahmen noch Beschwerden bereitet. Ein lokaler Schaden des Knorpels und des darunterliegenden Knochens führt im Verlauf nicht zwingend zu einer Arthrose *.
Referenzen
Tol JL, Struijs PA, Bossuyt PM, Verhagen RA, van Dijk CN. Treatment strategies in osteochondral defects of the talar dome: a systematic review. Foot Ankle Int. 2000;21:119-126.
Weigelt L, Laux CJ, Urbanschitz L et al. Long-term Prognosis After Successful Nonoperative Treatment of Osteochondral Lesions of the Talus: An Observational 14-Year Follow-up Study. Orthop J Sports Med. 2020;8:2325967120924183.
Hannon CP, Bayer S, Murawski CD et al. Debridement, Curettage, and Bone Marrow Stimulation: Proceedings of the International Consensus Meeting on Cartilage Repair of the Ankle. Foot Ankle Int. 2018;39:16S-22S.
Imhoff AB, Paul J, Ottinger B et al. Osteochondral transplantation of the talus: long-term clinical and magnetic resonance imaging evaluation. Am J Sports Med. 2011;39:1487-1493.
Aurich M, Bedi HS, Smith PJ et al. Arthroscopic treatment of osteochondral lesions of the ankle with matrix-associated chondrocyte implantation: early clinical and magnetic resonance imaging results. Am J Sports Med. 2011;39:311-319.
Weigelt L, Hartmann R, Pfirrmann C, Espinosa N, Wirth SH. Autologous Matrix-Induced Chondrogenesis for Osteochondral Lesions of the Talus: A Clinical and Radiological 2- to 8-Year Follow-up Study. Am J Sports Med. 2019;47:1679-1686.
Sprechstunde
Möchten Sie einen Termin in der Klinik oder eine Online-Sprechstunde für Dienstag oder Donnerstag vereinbaren?
Sie erreichen uns wie folgt:
Montag bis Freitag
08.30–12.00 Uhr
13.00–17.00 Uhr