Frakturen – Knochenbrüche an Füssen und Beinen
Knochen brechen oft bei Unfällen, durch Überlastungen oder aufgrund gewisser Vorerkrankungen. Um Ihre Füsse und Beine wieder zu richten, die ganze Körperstatik intakt zu halten und Folgeerscheinungen wie Arthrose vorzubeugen, wenden wir verschiedene operative und konservative Therapien an.
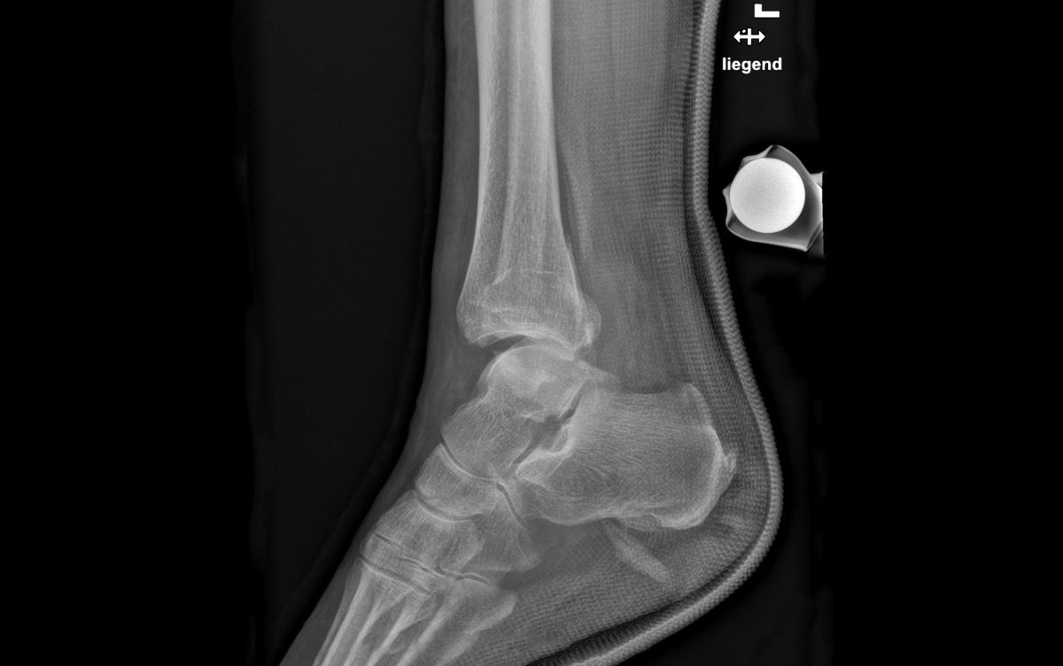
Knöchelbruch
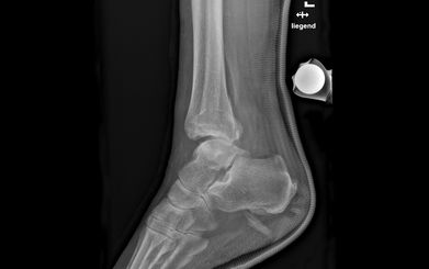
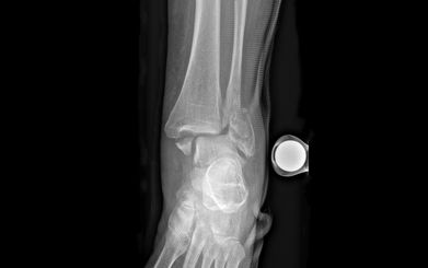
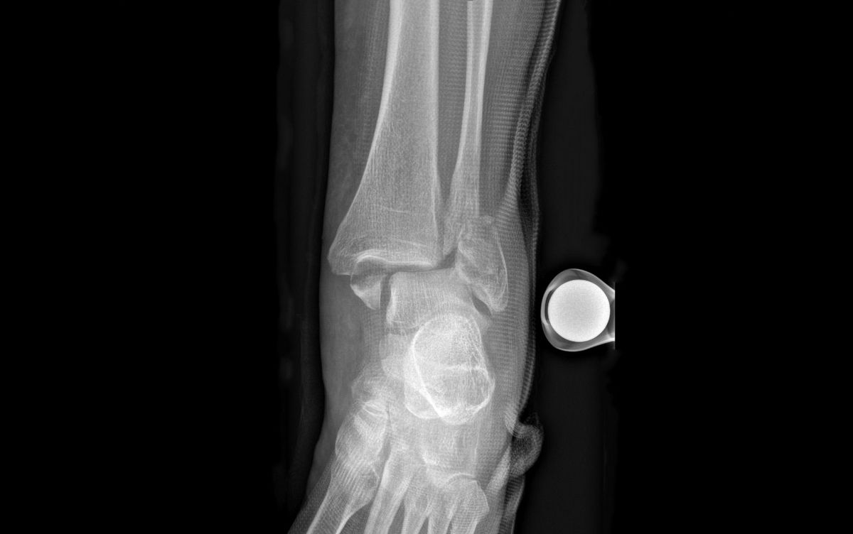
Das obere Sprunggelenk (OSG) besteht aus drei aneinander angrenzenden Knochen, dem Schienbein (Tibia), dem Wadenbein (Fibula) und dem Sprungbein (Talus). Funktionell ähnelt es einem formstarken Scharniergelenk, das eine Beugung (Flexion) von ca. 40° und eine Streckung (Extension) von ca. 20° zulässt. Die beiden Knöchel – im Fachjargon Malleolen genannt – bilden je einen Zinken der sogenannten Malleolengabel, die das Sprungbein stabilisierend umschliesst. Die Malleolengabel wiederum wird durch ein starkes Band (Syndesmose) zusammengehalten. Für die seitliche Stabilität des OSG sorgen die an den beiden Malleolen entspringenden Seitenbänder.
Unter einem Knöchelbruch – auch Sprunggelenkfraktur oder Malleolarfraktur – wird ein Bruch (Fraktur) des inneren und/oder äusseren Knöchels verstanden. Oft treten dabei auch Begleitschäden an Bändern, Knorpeln oder Sehnen auf.
Ursachen
Patientinnen und Patienten spüren häufig ein Verdrehen oder Umknicken im Sprunggelenk, oft auch mit einem innerlichen Knacken. Anschliessend schwillt der Bereich um das Sprunggelenk relativ schnell an.
Symptome
Direkt nach dem Unfall treten Schmerzen und kurze Zeit später auch eine Schwellung auf. Meistens können Patientinnen und Patienten den Fuss nicht mehr voll belasten. In diesem Fall ist es ratsam, eine Notfallstation aufzusuchen. Einen Bruch von einer Bänderverletzung zu unterscheiden ist oftmals schwierig, da die Schmerzen ähnlich ausgeprägt sein können.
Diagnose
Die Schmerzen und die Schwellung über dem Aussen- und/oder Innenknöchel lassen bei der Untersuchung häufig auf eine Bandverletzung oder einen Bruch schliessen. Die definitive Diagnose wird jedoch erst anhand eines Röntgenbilds gestellt. Eine weiterführende Diagnostik mittels Magnetresonanztomographie (MRT bzw. engl. MRI für magnetic resonance imaging) bleibt unklaren Fällen mit hohem Verdacht auf zusätzliche Syndesmosenverletzung vorbehalten. Bei komplizierten Brüchen dient eine Computertomographie (CT) der besseren Erkennung oder dazu, knöcherne Zusatzverletzungen auszuschliessen.
Konservative Therapie
Da Knöchelbrüche das Gelenk betreffen, ist die Wiederherstellung der ursprünglichen Anatomie sehr wichtig, um einer späteren Arthrose vorzubeugen. Die Behandlungsoptionen (konservativ oder operativ) werden jeweils zusammen mit der Patientin oder dem Patienten individuell besprochen und beurteilt. Nach aktuellem Wissensstand können kaum bis minimal verschobene Brüche auch konservativ behandelt werden, wobei eine Woche nach dem Unfall eine Stellungskontrolle durchgeführt werden sollte *. Diese Behandlung erfolgt für 6 bis 8 Wochen im Unterschenkelgips, in dem der Fuss mit max. 15 kg teilbelastet werden darf.
Operative Behandlung
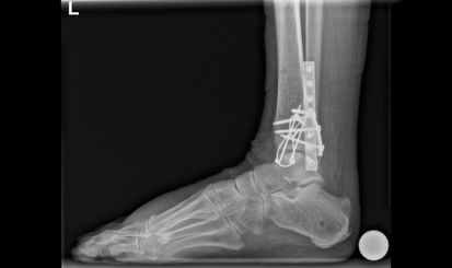
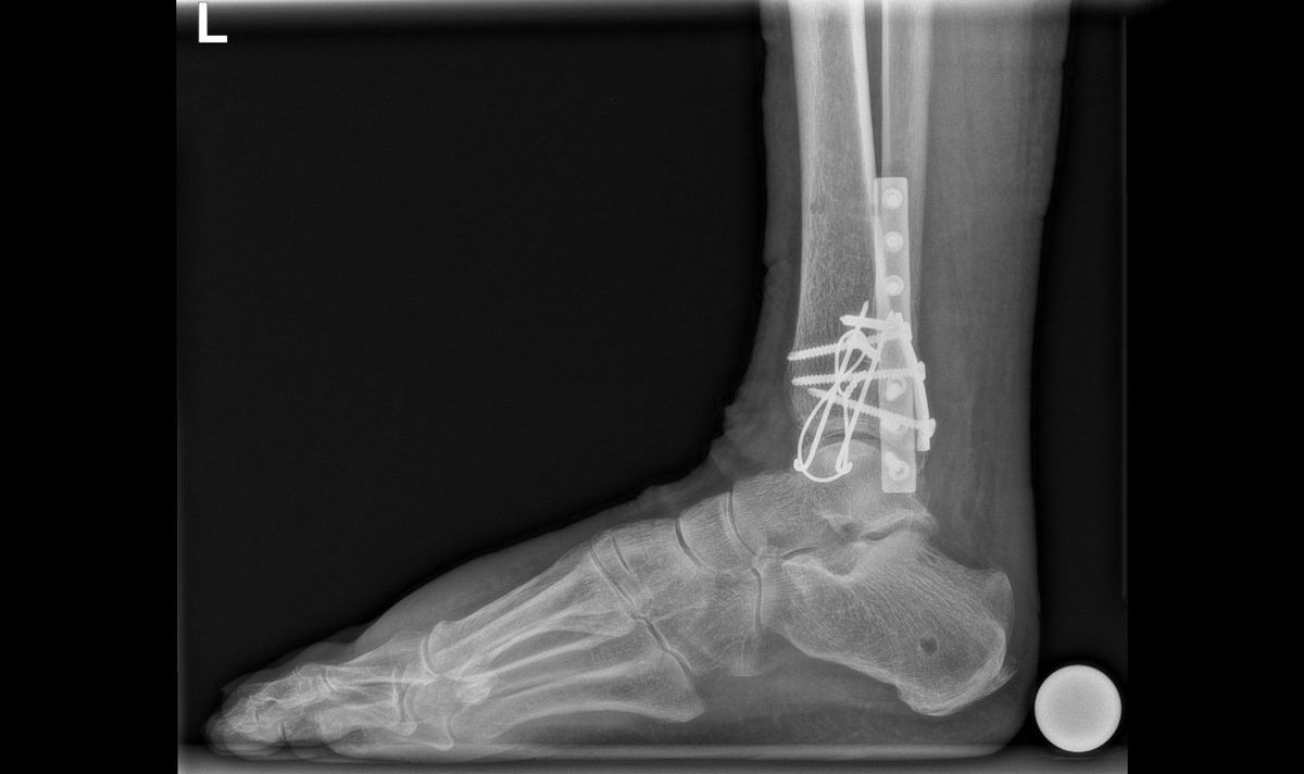
Verschobene Brüche sollten operiert werden, um einer späteren Arthrose vorzubeugen *. Der richtige Zeitpunkt dafür hängt jedoch vom Zustand der Weichteile ab. Diese sollten nicht zu fest angeschwollen sein, da sonst die Haut nach der Operation nicht mehr richtig verschliesst. In Fällen mit starker Schwellung und instabilen Brüchen kann auch eine externe Fixation (Fixateur externe) notwendig sein *. Nach der Weichteilkonditionierung (abschwellende Massnahme) kann dann die definitive Frakturversorgung 5 bis 10 Tage später erfolgen.
Beim Eingriff werden die Knochenbruchstücke von Altblut gesäubert und wieder in ihre anatomische Form gebracht. Die Fixation erfolgt dann mittels Schrauben und/oder Platten. Sollte die Knöchelgabel aufgrund einer Syndesmosenverletzung instabil sein, ist womöglich eine temporäre Stellschraubenfixation erforderlich. Diese Stellschraube wird 8 Wochen später ambulant wieder entfernt. Die anderen Schrauben werden nur entnommen, falls sie stören – meistens nach einem Jahr oder etwas früher.
Bild: Universitätsklinik Balgrist
Nachbehandlung
Die Nachbehandlung erfolgt frühfunktionell. Das heisst, dass direkt nach trockenen Wundverhältnissen mit der Mobilisation des Sprunggelenks begonnen wird. Zum Schutz erhalten die Patientinnen und Patienten häufig für 6 Wochen einen abnehmbaren Unterschenkelgips, in dem sie den Fuss bis max. 15 kg teilbelasten dürfen.
Häufige Fragen
Werden Schrauben und Platten nach der Operation entfernt?
Schrauben und Platten müssen nicht zwingend entfernt werden, sondern nur dann, wenn sie unter der Haut stören. Eine Stellschraube, wie sie bei Syndesmosenverletzungen eingesetzt wird, nimmt man in der Regel nach 2 bis 3 Monaten wieder heraus.
Ab wann kann ich wieder arbeiten?
Dies hängt vom Beruf ab. Rein sitzende Tätigkeiten sind theoretisch direkt nach Spitalaustritt möglich. Jedoch ist zu beachten, dass der Fuss anfänglich hochgelagert wird. Zudem sind zwei Gehstöcke notwendig und der Fuss darf meistens nur bis 15 kg teilbelastet werden. Somit wird unter Umständen schon der Arbeitsweg zur Herausforderung. Ausserdem ist oft schon das Tragen von kleinen Gegenständen wie Ordnern oder einem Glas Wasser schwierig. Daher ist es durchaus möglich, dass auch eine sitzende Tätigkeit erst nach 6 Wochen wieder aufgenommen werden kann. Häufig lohnt sich da das Gespräch mit dem Arbeitgeber über Teilzeitarbeit im Homeoffice. Bei manuellen Berufen sollte zunächst der Knochen verheilt sein. Nach 6 Wochen überprüfen wir dies auf einem Röntgenbild. Je nach beruflicher Belastung kann die Arbeit nach frühstens 6 bis 12 Wochen aufgenommen werden.
Referenzen
O’Keefe R, Naylor JM, Symes MJ, Harris IA, Mittal R. Minimum 5-Year Follow-up Results: CROSSBAT (Combined Randomised and Observational Study of Surgery vs No Surgery for Type B Ankle Fracture Treatment). Foot Ankle Int. 2022;43(12):1517–24.
Pflüger P, Braun KF, Mair O, Kirchhoff C, Biberthaler P, Crönlein M. Current management of trimalleolar ankle fractures. EFORT Open Reviews. 2021;6(8):692–703.
Kamin K, Rammelt S, Kleber C, Marx C, Schaser KD. Fixateur externe: temporäre Fixation und Weichteilmanagement am oberen Sprunggelenk. Oper Orthop Traumatol. 2020;32(5):421–32.
Sprechstunde
Möchten Sie einen Termin in der Klinik oder eine Online-Sprechstunde für Dienstag oder Donnerstag vereinbaren?
Sie erreichen uns wie folgt:
Montag bis Freitag
08.30–12.00 Uhr
13.00–17.00 Uhr



