Hallux rigidus
Die Bewegung der Grosszehe findet hauptsächlich im Grosszehengrundgelenk (Metatarsophalangealgelenk I, kurz MTP I) statt, das von allen Fussgelenken am häufigsten von Arthrose betroffen ist *. Die fortschreitende Degeneration des MTP-I-Gelenks führt zu Schmerzen und einer Einsteifung. Daher kommt der lateinische Name Hallux rigidus (starrer grosser Zeh). Die Bewegungseinschränkung ist besonders beim Abrollen schmerzhaft und resultiert oft in einer Anpassung des Gangbilds sowie in Einschränkungen im Alltag oder Sport.

Bild: Universitätsklinik Balgrist
Ursachen
Das Grosszehengrundgelenk ist einer grossen Belastung ausgesetzt, die im Laufe der Zeit zu einer Arthrose führen kann. Mögliche weitere Ursachen für die Gelenkschädigung sind:
- Unfälle
- genetische Neigung
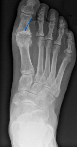
- stark ausgeprägte Fehlstellung (Hallux valgus) *
- entzündliche Gelenkerkrankungen (z. B. Gicht)
Symptome
Patientinnen und Patienten mit einer MTP-I-Arthrose sind meist von einer Bewegungseinschränkung und Schmerzen im Grosszehengrundgelenk betroffen. Die Schmerzen treten typischerweise auf, wenn die Grosszehe maximal nach oben gedrückt wird *, z. B. beim Abstossen während des Gehens oder beim Bergauflaufen. Möglich sind auch Schmerzen in anderen Zehen, falls diese zur Entlastung des Grosszehengelenks fehlbelastet werden. Bei fortgeschrittener Arthrose kann sich neuer Knochen (Osteophyten) oberhalb des Gelenks bilden, was beim Schuhetragen oftmals stört.
Diagnose
Häufig liefert bereits die klinische Untersuchung die Diagnose. Typischerweise ist der charakteristische zusätzliche Knochen (Osteophyten) kranzförmig um das Gelenk gut fühlbar. Zudem fällt eine eingeschränkte Beweglichkeit im MTP-I-Gelenk auf, die schmerzhaft ist, wenn die Zehe nach ganz oben oder unten bewegt wird. Bei fortgeschrittener Arthrose schmerzt meistens der gesamte Bewegungsumfang, da hier auch der zentral gelegene Knorpel geschädigt ist. Der Zustand des Knorpels kann durch spezielle Tests untersucht werden, der bekannteste ist der «grinding test». Dabei werden durch eine Mahlbewegung Schmerzen ausgelöst, sofern ein zentraler Knorpeldefekt besteht.
Ein Röntgenbild kann die Diagnose schliesslich sichern. Darauf ist sichtbar, dass der Gelenkspalt verschmälert ist, da sich der Knorpel abgenutzt hat. Zudem lassen sich die typischen Osteophyten und Überlastungen am gelenkangrenzenden Knochen in Form von Skleroselinien (Knochenverhärtung) und Zysten identifizieren.
Verlauf
Eine Arthrose wird sich nicht spontan zurückbilden. Allerdings verlaufen die Schmerzen häufig wellenförmig, sodass es auch schmerzarme Episoden geben kann. Solche können sich natürlich auch durch Schonung oder Entlastung des Gelenks einstellen, z. B. durch das Tragen von geeignetem Schuhwerk mit harter Sohle. Schliesslich kann auch der natürliche Verlauf zu einer kompletten Gelenkversteifung mit abnehmenden Schmerzen führen.
Wann zur Ärztin oder zum Arzt?
Bei Schmerzen im Grosszehengrundgelenk, die im Alltag stören, ist eine Abklärung sinnvoll. Zudem sind Rötung und Überwärmung des Gelenks Hinweise für eine Entzündung, die ärztlich abgeklärt werden sollte.
Therapie
Zur Behandlung des Hallux rigidus stehen konservative und operative Methoden zur Verfügung. In der Regel kann zunächst ein konservativer Therapieversuch unternommen werden.
Konservative Therapie
Die nichtoperativen Behandlungsmöglichkeiten beinhalten folgende Massnahmen *:
- Modifikationen des Schuhwerks
- Anpassung des Lebensstils
- Physiotherapie
- Kortison-Infiltrationen
Die Anpassung des Schuhwerks spielt in der konservativen Therapie eine entscheidende Rolle. Sohlenversteifungen und Abrollhilfen entlasten das MTP-I-Gelenk und Ausweitungen des Schuhs lösen Druckstellen bei überschüssigen Knochen (Osteophyten) auf. Je nach Ausprägung des Krankheitsbilds wird der eigene Schuh (Konfektionsschuh) modifiziert oder ein orthopädischer Schuh angefertigt.
Zur Diagnosesicherung und zur kurz- und mittelfristigen Verbesserung kann eine Kortison-Infiltration des Gelenks erfolgen *.
Operative Behandlung
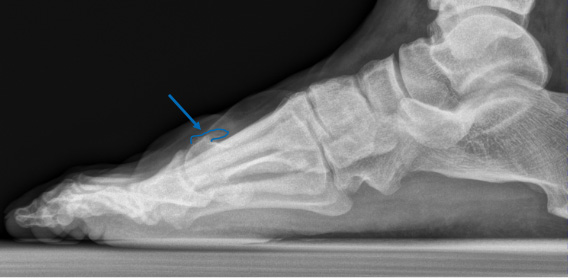
Sollte die konservative Therapie nicht helfen, ist eine Operation möglich. Bei geringer oder mässiger Arthrose empfiehlt sich in vielen Fällen ein gelenkerhaltender Eingriff in Form einer Cheilektomie *.
Cheilektomie
Bei diesem Eingriff werden die störenden Osteophyten um das Gelenk herum abgetragen und der Gelenkteil mit abgenutzter Knorpelschicht wird mitentfernt. Dadurch verbessert sich die Beweglichkeit und die Schmerzen werden reduziert *, *. Der Eingriff findet in der Regel stationär statt und der Aufenthalt dauert zwei Tage.
In den ersten zwei Wochen sollte der Fuss zur Wundheilung hochgelagert werden. Danach beginnt idealerweise die Physiotherapie, in der das MTP-I-Gelenk bis zur Wundheilung in einem Therapieschuh mobilisiert wird.


Bild: Universitätsklinik Balgrist
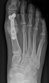
MTP-I-Arthrodese

Bild: Universitätsklinik Balgrist
Bei fortgeschrittener Arthrose im Grosszehengrundgelenk ist die Versteifung nach wie vor der operative Goldstandard *. Bei diesem Eingriff wird der noch vorhandene Restknorpel entfernt und der angrenzende Knochen zur besseren Heilung «angefrischt». Dazu wird die Knochenschicht unter dem Knorpel mikroskopisch klein aufgebrochen, um das Zusammenwachsen zu fördern. Mittels Schrauben oder einer Platte wird der Knochen wieder fixiert. Durch das Zusammenheilen des Gelenks verschwinden in der Regel die arthrosetypischen Beschwerden.
Der Eingriff erfordert üblicherweise einen stationären Aufenthalt von zwei bis drei Tagen. In den ersten zwei Wochen sollte der Fuss zur besseren Wundheilung hochgelagert werden. Die Mobilisation in der Physiotherapie erfolgt in einem Therapieschuh, der die Arthrodese schützt. Nach sechs Wochen findet eine Nachkontrolle mit klinischer Untersuchung und einer Röntgenaufnahme statt. Je nachdem wie der Knochen zusammenheilt, muss der Fuss weiterhin auf einer harten Sohle ruhiggestellt werden.
Prinzipiell besteht auch die Möglichkeit eines Gelenkersatzes (Gelenkprothese). Dies ist aufgrund hoher Komplikationsraten nur in Ausnahmefällen sinnvoll *, *.
Häufige Fragen
Wie sind die Erfolgsaussichten bei einer Cheilektomie?
Mehr als 80 % der Patientinnen und Patienten sind nach einer Cheilektomie zufrieden oder sehr zufrieden *.
Wie sind die Erfolgsaussichten bei einer MTP-I-Arthrodese?
Über 90 % der Patientinnen und Patienten sind zufrieden oder sehr zufrieden *.
Kann man nach einer Arthrodese wieder laufen?
Patientinnen und Patienten können auch mit versteiftem Grosszehengelenk in der Regel gut gehen und viele Sportarten wieder ausüben.
Referenzen
- Coster MC, Cöster ME, Montgomery F. Hallux rigidus - Osteoarthritis of the first MTP-joint. Surgical and patient-reported results from Swefoot. Foot Ankle Surg. 2021;27:555-558. 
- Perler AD, Nwosu V, Christie D, Higgins K. End-stage osteoarthritis of the great toe/hallux rigidus: a review of the alternatives to arthrodesis: implant versus osteotomies and arthroplasty techniques. Clin Podiatr Med Surg. 2013;30:351-395. 
- Pons M, Alvarez F, Solana J, Viladot R, Varela L. Sodium hyaluronate in the treatment of hallux rigidus. A single-blind, randomized study. Foot Ankle Int. 2007;28:38-42. 
- Galois L, Hemmer J, Ray V, Sirveaux F. Surgical options for hallux rigidus: state of the art and review of the literature. Eur J Orthop Surg Traumatol. 2020;30:57-65. 
- Nicolosi N, Hehemann C, Connors J, Boike A. Long-Term Follow-Up of the Cheilectomy for Degenerative Joint Disease of the First Metatarsophalangeal Joint. J Foot Ankle Surg. 2015;54:1010-1020. 
- Wagenmann B, Schuh R, Trnka HJ. [Functional outcome of cheilectomy for the treatment of hallux rigidus]. Z Orthop Unfall. 2011;149:395-401. 
- Gibson JN, Thomson CE. Arthrodesis or total replacement arthroplasty for hallux rigidus: a randomized controlled trial. Foot Ankle Int. 2005;26:680-690. 
- Johnson MD, Brage ME. Total Toe Replacement in the United States: What Is Known and What Is on the Horizon. Foot Ankle Clin. 2016;21:249-266. 
- Wanivenhaus F, Espinosa N, Tscholl PM, Krause F, Wirth SH. Quality of Early Union After First Metatarsophalangeal Joint Arthrodesis. J Foot Ankle Surg. 2017;56:50-53. 
Sprechstunde
Möchten Sie einen Termin in der Klinik oder eine Online-Sprechstunde für Dienstag oder Donnerstag vereinbaren?
Sie erreichen uns wie folgt:
 Montag bis Freitag
 08.30–12.00 Uhr
 13.00–17.00 Uhr