Fersensporn und Plantarfasziitis
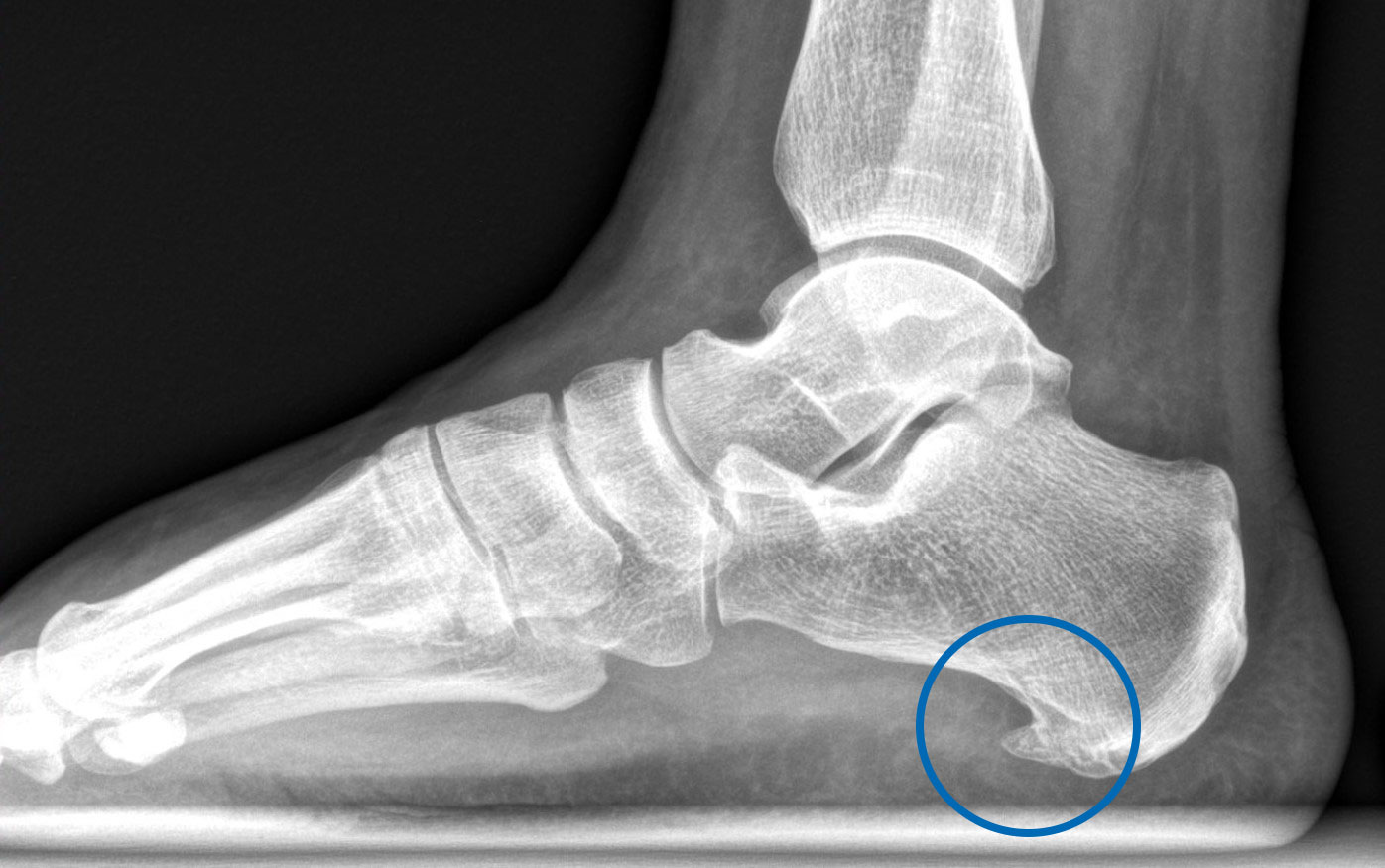
Der Fersensporn oder auch Kalkaneussporn ist eine knöcherne Ausziehung (Knochenneubildung) am Fersenbein, die sehr gut im seitlichen Röntgenbild zu sehen ist. Dieser Sporn führt nicht zwangsläufig zu Schmerzen. Häufig kommt er aber zusammen mit einer Entzündung der Plantarfaszie vor, der sogenannten Plantarfasziitis, die Beschwerden verursacht.

Bild: Universitätsklinik Balgrist
Ursachen
Angenommen wird, dass die Ursache eine Überlastung mit wiederholten Mikrotraumata der Plantaraponeurose (Sehnenplatte an der Fusssohle) ist. Zudem führen Fussformstörungen wie z. B. der Plattfuss oder der Hohlfuss zu Überlastungen beim Gehen und Stehen *,*.
Die Plantarfasziitis ist mit bis zu 80 % die weitaus häufigste Ursache plantarer Fersenschmerzen *. Im Laufe des Lebens sind etwa 10 % der allgemeinen Bevölkerung betroffen *, Läuferinnen und Läufer mit bis zu 17.5 % noch häufiger *. Die Patientinnen und Patienten sind hauptsächlich zwischen 40 und 60 Jahre alt *.
Risikofaktoren für die Entstehung eines Fersensporns:
- hohes oder tiefes Aktivitätslevel
- Übergewicht
- reduzierte Streckung im oberen Sprunggelenk
- verkürzte dorsale Kette (Muskeln, Faszien und Sehnen am hinteren Bein) *,*
Symptome
Meistens geben Patientinnen und Patienten an, dass die Fersenschmerzen von der Belastung abhängen. Sie werden nach dem Aufstehen oder Anlaufen zunächst stärker und bessern sich nach dem Einlaufen wieder.
Diagnose
Liegen die typischen Symptommerkmale vor, lässt sich die Diagnose der Plantarfasziitis in der klinischen Untersuchung bereits stellen. Ohne weitere Abklärungen kann eine gezielte konservative Therapie eingeleitet werden *. Eine standardmässige Röntgenuntersuchung zur Diagnosesicherung ist nicht notwendig und dient lediglich zum Ausschluss relevanter Differenzialdiagnosen bei entsprechendem Verdacht – z. B. bei Unfällen *,*. Bei Bedarf kann eine Magnetresonanztomographie (MRT bzw. engl. MRI für magnetic resonance imaging) die Diagnose weiter sichern *.
Konservative Behandlung
Die Plantarfasziitis wird als «selbstlimitierende» Erkrankung angesehen. Selbstlimitierend meint, dass eine Krankheit ohne Therapie wieder verschwindet. Bis zu 90 % der Patientinnen und Patienten sind nach einem Jahr schmerzfrei *. Zur kurzfristigen Schmerzlinderung können antientzündliche Schmerzmittel eingesetzt werden. Da es sich überwiegend um eine Überlastungserscheinung handelt, können (elastisches) Taping oder Einlagesohlen sehr effektiv sein. Nachtlagerungsschienen verhindern beim Schlafen das Verkürzen der dorsalen Kette. Dehnungsübungen der dorsalen Kette sind v. a. in der subakuten (nicht so heftigen) Phase entscheidend. Lokale Infiltrationen mit Kortikosteroiden wirken effektiv, aber nur kurzfristig gegen Entzündungen. Behandlungsmöglichkeiten mit Eigenblut (platelet-rich plasma – PRP), Botulinumtoxin oder Needling werden eingesetzt, jedoch noch mit geringer Evidenz. Falls die Beschwerden weiterbestehen, ist die extrakorporale Stosswellentherapie (ESWT) sehr effektiv *. Dadurch wird, vereinfacht gesagt, der Entzündungsvorgang gestört, um die Schmerzen zu umgehen.
Operative Behandlung
Falls die Beschwerden nach der konservativen Therapie weiterbestehen – in der Regel über sechs Monate – wird im Einzelfall eine Operation gewählt. Durch eine Fasziotomie (Faszienspaltung) versucht man die Spannung der Plantarfaszie direkt zu reduzieren oder indirekt durch ein Release (Einkerbung) der Gastrocnemiusfaszie auf verschiedenen Höhen (z. B. nach Strayer, Baumann oder Barouk). Die Ergebnisse sind jedoch durchzogen *.
Nachbehandlung
Zur Nachbehandlung des operativen Eingriffs (Achillessehnenverlängerung, Einkerbung der Plantarfaszie) gehört eine frühzeitige Mobilisation im Therapieschuh für 2 bis 3 Wochen. Die Intensität richtet sich nach den Beschwerden. Gehstöcke werden nach Bedarf verwendet. Nach 2 Wochen werden die Fäden gezogen. Je nach Arbeitsbelastung ist von einer Arbeitsunfähigkeit von 2 bis 6 Wochen auszugehen, wobei sitzende Tätigkeiten oft bereits nach 2 Wochen möglich sind. Der Fuss braucht viel Zeit in der Phase nach der Operation. Es dauert meistens bis zu 6 Monate oder länger bis sich der Fuss wieder «normal» anfühlt.
Häufige Fragen
Muss ein Fersensporn chirurgisch entfernt werden?
Glücklicherweise muss nur selten zur Operation gegriffen werden. Da der Sporn nicht die eigentliche Ursache ist, muss dieser auch nicht entfernt werden. Es handelt sich dabei um eine knöcherne, spornartige Ausziehung am Fersenbein.
Wie kann ich einem Fersensporn vorbeugen?
Einem Fersensporn – oder besser gesagt einer Plantarfasziitis – kann man vorbeugen, indem man die bekannten Risikofaktoren verringert: Nicht übertreiben beim Sport und Übergewicht vermeiden. Zudem lohnt es sich, täglich die Waden zu dehnen.
Referenzen
- Caminear D, Saxena A, Fullem B, Gerdesmeyer L. Schneider H, Baca J, Carpenter B, Dayton P, Fleischer A, Sachs B. American College of Foot and Ankle Surgeons Clinical Consensus Statement: Diagnosis and Treatment of Adult Acquired Infracalcaneal Heel Pain. J Foot Ankle Surg 2018. The Journal of Foot and Ankle Surgery. 2018;57(5):1051–2. 
- Wearing SC, Smeathers JE, Urry SR, Hennig EM, Hills AP. The Pathomechanics of Plantar Fasciitis. Sports Med. 2006;36(7):585–611. 
- Cutts S, Obi N, Pasapula C, Chan W. Plantar fasciitis. annals. 2012;94(8):539–42. 
- Radwan A, Wyland M, Applequist L, Bolowsky E, Klingensmith H, Virag I. ULTRASONOGRAPHY, AN EFFECTIVE TOOL IN DIAGNOSING PLANTAR FASCIITIS: A SYSTEMATIC REVIEW OF DIAGNOSTIC TRIALS. Int J Sports Phys Ther. 2016;11(5):663–71. 
- Lopes AD, Hespanhol LC, Yeung SS, Costa LOP. What are the Main Running-Related Musculoskeletal Injuries? Sports Med. 2012;42(10):891–905. 
- Taunton JE, Ryan MB, Clement DB, McKenzie DC, Lloyd-Smith DR. Plantar fasciitis: a retrospective analysis of 267 cases. Physical Therapy in Sport. 2002;3(2):57–65. 
- Irving DB, Cook JL, Menz HB. Factors associated with chronic plantar heel pain: a systematic review. Journal of Science and Medicine in Sport. 2006;9(1):11–22. 
- Riddle DL, Pulisic M, Pidcoe P, Johnson RE. Risk Factors for Plantar Fasciitis: A Matched Case-Control Study. JBJS. 2003;85(5):872–7. 
- Levy JC, Mizel MS, Clifford PD, Temple HT. Value of Radiographs in the Initial Evaluation of Nontraumatic Adult Heel Pain. Foot Ankle Int. 2006;27(6):427–30. 
- Ehrmann C, Maier M, Mengiardi B, Pfirrmann CWA, Sutter R. Calcaneal Attachment of the Plantar Fascia: MR Findings in Asymptomatic Volunteers. Radiology. 2014;272(3):807–14. 
- Davis PF, Severud E, Baxter DE. Painful Heel Syndrome: Results of Nonoperative Treatment. Foot Ankle Int. 1994;15(10):531–5. 
Sprechstunde
Möchten Sie einen Termin in der Klinik oder eine Online-Sprechstunde für Dienstag oder Donnerstag vereinbaren?
Sie erreichen uns wie folgt:
 Montag bis Freitag
 08.30–12.00 Uhr
 13.00–17.00 Uhr