Traumatische Verletzungen von Muskeln und Sehnen
Sehnenrisse und Muskelverletzungen am Oberschenkel sind besonders unter Sportlerinnen und Sportlern gefürchtet. Um Krafteinbussen und Bewegungseinschränkungen möglichst auszuschliessen, empfiehlt sich eine schnelle Erstabklärung beim Hausarzt oder bei der Hüft- und Beckenspezialistin.
Proximale Hamstring-Sehnenrupturen
Die Hamstrings (ischiocrurale Muskulatur) befinden sich an der Rückseite der Oberschenkel und sind für die Streckung der Oberschenkel und das Beugen des Knies zuständig. Der Hamstring-Muskelkomplex besteht aus dem Musculus biceps femoris, dem Musculus semitendinosus und dem Musculus semimembranosus. Die Verletzungsarten reichen von Überbelastungen (Tendinopathie) über Zerrungen bis hin zu Rissen (Rupturen).
Ursachen
Hamstringverletzungen treten durch einen Schlag (direkte Einwirkung) oder schnelle, abrupte Krafteinwirkung in maximaler Muskelanspannung (indirekte Einwirkung) auf. Dies kommt z. B. vor beim Rennen (Hochgeschwindigkeitslauf-Typ) oder durch übermässige Verlängerung der Muskeln (Überdehnungs-Typ), z. B. bei einem Spagat.
Symptome
Patientinnen und Patienten berichten typischerweise über folgende Beschwerden:
- Schwellung und Hämatom (Bluterguss) an der Rückseite des Oberschenkels
- reissender oder stechender Schmerz am dorsalen (hinteren) Oberschenkel
- Schmerzen beim Gehen, evtl. Hinken
- Schwächegefühl in den Muskeln rund um Hüfte und Oberschenkel
Diagnose

Bild: Universitätsklinik Balgrist
Hamstringverletzungen werden anhand einer klinischen Untersuchung und einer Magnetresonanztomographie (MRT bzw. engl. MRI für magnetic resonance imaging) diagnostiziert. In der klinischen Untersuchung fallen oft ein Bluterguss und Schmerzen am dorsalen Oberschenkel auf. Bei ausgeprägten Rupturen kann eine Delle im Verlauf der Hamstrings ertastet werden. Die Kraft bei Hüftstreckung oder Kniebeugung kann reduziert sein. Ein Röntgenbild ist typischerweise unauffällig, darauf könnte aber ein knöcherner Ausriss auffallen. Eine MRI-Untersuchung ist deshalb bei der Diagnose entscheidend, um das Ausmass der Verletzung zu quantifizieren (Retraktion, Grösse der Ruptur). Die Retraktion gibt an, wie weit sich die Sehnen von ihrem Ansatz am Tuber ischiadicum (Knochenvorsprung am Sitzbein) abgelöst haben.
Die Gradeinteilung der Hamstringverletzungen basiert auf der Klinik (Symptome) und dem Ausmass der Verletzung auf dem MRI-Bild:
- Grad 1: milde Symptome, intakte Sehnen
- Grad 2: moderate Symptome, Teilruptur der Sehnen
- Grad 3: schwere Symptome, Komplettruptur der Sehnen (alle drei Sehnen)
Wann zum Arzt?
Sollte sich nach einem Trauma ohne direkten Schlag eine Schwellung und ein Bluterguss zeigen, ist eine schwere Verletzung des Muskels oder ein Sehnenabriss zu befürchten. Eine rasche ärztliche Abklärung ist dann dringend empfohlen. Wenn die Oberschenkelschmerzen nach einem Trauma anhalten und nicht in wenigen Tagen vollständig verschwinden, ist eine Abklärung beim Hausarzt oder bei der Hüftspezialistin sinnvoll.
Therapie
Konservative Behandlung
Wenn eine einzelne oder zwei von den drei Hamstringsehnen reissen und die Retraktion unter 2 cm liegt, wird konservativ behandelt. Ebenfalls konservativ behandelt werden weniger aktive Personen, Personen mit medizinischen Komorbiditäten (mehrere gleichzeitige Krankheiten) und Personen, die die postoperative Rehabilitation nicht einhalten können.
Massnahmen der konservativen Therapie
- Kühlung, Belastungsreduktion/-anpassung (evtl. Teilbelastung an Gehstöcken)
- frühe physikalische Therapie zur Aufdehnung und später zur Kräftigung der Quadrizepsmuskulatur mit langsamer Steigerung
- Orale entzündungshemmende Schmerzmittel (nichtsteroidale Antirheumatika, kurz NSAR) oder lokale Schmerzpflaster
- Infiltration im Bereich des Sitzbeins (mit einem kristallinen Depot-Kortison oder mit Eigenblut (Platelet RichPlasma – PRP)
Operative Behandlung
Eine operative Therapie von proximalen Hamstringverletzungen wird empfohlen, wenn zwei Sehnen gerissen sind und die Retraktion mindestens 2 cm beträgt (Ablösung vom Ansatz des Tuber ischiadicum), oder wenn drei Sehnen ausgerissen sind. Die ausgerissenen Sehnen werden mittels zwei bis drei Knochenankern am Tuber ischiadicum befestigt. Der Zugang erfolgt über einen Schnitt im Bereich der Gesässfalte.
Proximaler Ausriss der Sehne des M. rectus femoris
Schädigungen der Oberschenkelmuskulatur kommen beim Sport häufig vor. Alleine beim Fussball betrifft fast jede dritte Verletzung den Oberschenkel. Insbesondere der Musculus rectus femoris, ein Teil der sogenannten Quadrizepsmuskulatur, ist aufgrund seiner anatomischen Besonderheiten häufig von Verletzungen betroffen. Der Musculus rectus ist zweigelenkig, das heisst, er ist an Bewegungen des Kniegelenks (Streckung) und des Hüftgelenks (Beugung) beteiligt.
Ursache
Der Musculus rectus femoris kann verletzt werden durch plötzliche, kräftige Kontraktion des Quadrizepsmuskels (z. B. abrupte Sprint- oder Trittbewegung) oder durch einen Sturz, bei dem das Hüftgelenk überstreckt wird.
Symptome
Patientinnen und Patienten berichten typischerweise über folgende Beschwerden:
- Schwellung und Hämatom an der Leiste
- reissender oder stechender Schmerz in der Leiste oder im vorderen Beckenbereich
- Schmerzen beim Hüftbeugen oder beim Anheben des gestreckten Beins
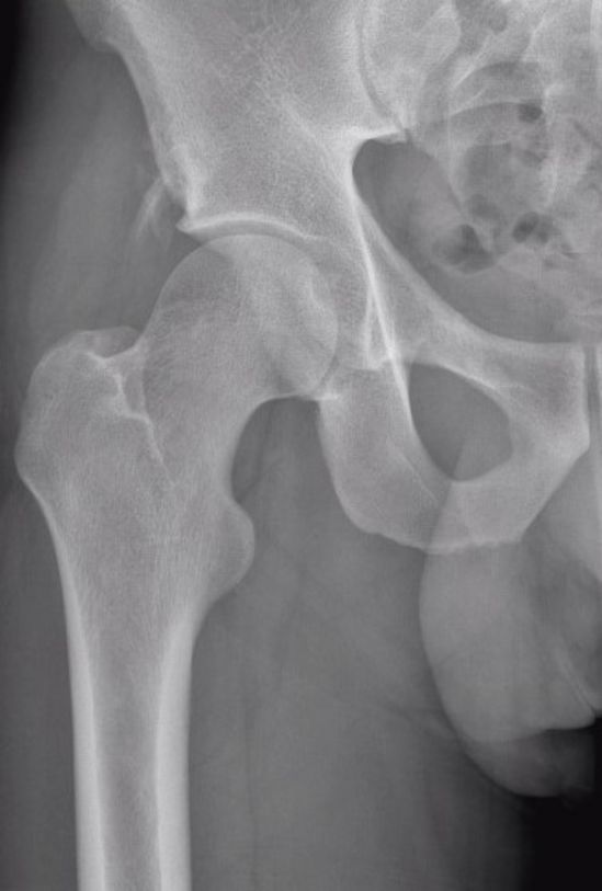
Diagnose
Rectus femoris-Verletzungen werden anhand einer klinischen Untersuchung und mit Hilfe von Röntgenbildern diagnostiziert. Dabei fallen oft ein Hämatom (Bluterguss) und Schmerzen am anterioren (vorderen) Beckenbereich (Spina iliaca anterior superior) und in der Leiste auf. Die Kraft bei der Kniebeugung kann reduziert sein und die Bewegung löst typischerweise Schmerzen aus. Im Röntgenbild könnte ein knöcherner Ausriss ersichtlich sein. Eine MRI-Untersuchung ist für die Diagnose nicht entscheidend, kann aber bei schweren Symptomen wichtige Informationen über das Verletzungsausmass geben (Retraktion, Grösse der Ruptur).


Links ein Röntgenbild und rechts eine MRI-Aufnahme der rechten Hüfte mit knöchernem Ausriss des proximalen Musculus rectus femoris.
Bilder: Universitätsklinik Balgrist
Therapie
Die Therapie von Verletzungen des M. rectus femoris erfolgt vorwiegend konservativ. Operiert werden häufig Personen mit hohen funktionellen Anforderungen (z. B. Profisportlerinnen und -sportler), oder wenn Schmerzen und Einschränkungen zu gross sind.
Konservative Therapie
Die konservative Behandlung basiert vor allem auf folgenden Massnahmen:
- Kühlung, Belastungsreduktion/-anpassung (evtl. Teilbelastung an Gehstöcken)
- frühe physikalische Therapie zur Aufdehnung und später zur Kräftigung der Quadrizepsmuskulatur mit langsamer Steigerung
- Orale entzündungshemmende Schmerzmittel (nichtsteroidale Antirheumatika, kurz NSAR) oder lokale Schmerzpflaster
- Infiltration im Bereich des Sitzbeins mit einem kristallinen Depot-Kortison oder mit Eigenblut (Platelet Rich Plasma – PRP)
Operative Behandlung
Eine ausgerissene Sehne des M. rectus femoris wird häufig an Patientinnen und Patienten mit hohen funktionellen Anforderungen operiert. Bei anhaltenden Schmerzen und funktionellen Einschränkungen, die durch die konservative Behandlung nicht bessern, ist der Eingriff ebenfalls empfohlen. Dabei werden die ausgerissenen Sehnen am Knochen der Spina iliaca anterior superior befestigt. Der Zugang erfolgt durch einen Längsschnitt im Leistenbereich.
Sprechstunde
Möchten Sie einen Termin in der Klinik oder eine Online-Sprechstunde für Montag oder Mittwoch vereinbaren?
Sie erreichen uns wie folgt:
 Montag bis Freitag
 08.00–12.00 Uhr
 13.00–17.00 Uhr